Freins, frénectomie: démystification
Auteur : Bücco
Qu'est-ce qu'un frein et à quoi sert-il?
Description longue (cliquer sur la flèche pour afficher)
QU’EST-CE QU’UN FREIN ET À QUOI SERT-IL?
- Le frein est un petit muscle, recouvert d’une membrane muqueuse, qui attache les lèvres et la langue aux os des mâchoires.
- Normalement, les freins sont au nombre de sept mais leur nombre, forme et position peuvent varier.
- La fonction principale de freins est de garder les lèvres et la langue en harmonie avec la croissance des os de la bouche pendant le développement fœtal.
- Les freins qui ont le plus d’influence sur la dentition et l’environnement buccal sont le frein qui attache la langue (frein lingual) et celui qui attache le milieu de la lèvre supérieure (frein labial).
ANOMALIES ET PROBLÈMES
- Un frein anormal, qui est une anomalie congénitale (génétique), affecte environ 5% de la population et est plus commun chez les garçons que chez les filles.
- Un frein trop court peut retenir la lèvre supérieure et empêcher de sourire facilement ou normalement.
LE FREIN LINGUAL : UN FREIN PARTICULIER
- Le frein lingual relie la face inférieure de la langue au plancher de la bouche contribue au développement de la bouche.
- Déglutition : ce frein joue un rôle crucial dans la mobilité de la langue. Pour avaler normalement, la langue doit être élevée contre le palais. Ceci crée un scellement et contribue à donner au palais sa forme normale.
- Le frein agit un peu comme un tendon plutôt qu’un muscle. Sa rigidité détermine l’étendue avec laquelle la langue peut s’élever ou s’allonger pendant la fonction.
- Si la langue ne peut s’élever suffisamment à cause d’un frein trop court, la langue sera poussée vers l’avant afin d’effectuer le scellement nécessaire à l’avant de la bouche, ce qui peut contribuer au développement d’une protrusion maxillaire et béance antérieure (absence de contacts entre les dents).
- Le terme utilisé pour décrire une langue “attachée” par un frein trop court est une ankyloglossie
À QUEL MOMENT LE FREIN DE LA LANGUE EST CONSIDÉRÉ ANORMAL?
Le frein de la langue est considéré anormal lorsque, dans le sens vertical, la langue ne peut être élevée suffisamment pour venir en contact avec la partie antérieure du palais et que, vers l’avant, la protraction de la langue dépasse à peine l’arcade dentaire inférieure.
Pendant la croissance et le développement normal de la bouche, la langue contribue au développement de la largeur et la forme du palais. Si le frein lingual est trop court, la langue ne pourra générer une pression suffisante pour créer un palais normal et il en résultera souvent un palais plus étroit et sous-développé.

Comparaison entre un frein lingual normal (A) et un qui est court et attaché au bout de la langue et derrière les incisives (flèches) (B).
LES CONSÉQUENCES FONCTIONNELLES
TROUBLES ORTHODONTIQUES ET DENTAIRES
Nourrissons : Chez les nouveaux-nés, un frein lingual court peur causer des difficultés d’allaitement maternel et il est parfois recommandé de le couper.
- Entre 20 à 50% des cas de freins lingual courts présenteront des difficultés d’allaitement.
- Des études rapportent un problème de frein serré dans 25 à 60 % des difficultés d’allaitement3 et 4à 10 % des bébés auraient un frein “serré” ou trop court, avec une prédominance chez les garçons (1,5 à 2,6 garçons pour 1 fille)3, 4, 5.
Phonation : Des troubles de prononciation (élocution) peuvent résulter d’un frein lingual anormal, particulièrement pour les sons “S”, “R” et le “TH” anglo-saxon. La plupart des enfants ayant un frein court ne présentent cependant pas de problèmes d’élocution sévères.
Les difficultés d’allaitement et problèmes de phonation majeurs peuvent constituer des situations ou exceptions où il peut être indiqué de couper un frein lingual et plus rarement un frein labial supérieur.
Problèmes orthodontiques et dentaires:
- Les freins anormaux ont été associés à une multitude de problèmes orthodontiques (malocclusions) tels que : constriction maxillaires, palais étroits et béance antérieures.
- Un frein qui s’attache trop près du rebord de la gencive peut causer une récession gingivale et perte osseuse. Le maintient d’une déglutition infantile résultant d’un frein court peut contribuer aux malpositions dentaires.
- L’ incidence de caries peut être plus grande vu que la langue ne peut balayer et nettoyer la surface interne des dents (du côté de la langue).
Considérations sociales : Une limitation dans la fonction de la langue peut rendre difficile certaines actions comme tirer la langue, lécher, jouer d’un instrument à vent, embrasser, etc. et causer une certaine gêne sociale.
EXEMPLE DE CAS CLINIQUE - LES CONSÉQUENCES FONCTIONNELLES #8666
Femme de 35 ans a été traitée en orthodontie il y a plusieurs années.
- (A) Après quelques temps, des espaces sont ré-apparus progressivement entre les incisives supérieures et inférieures. La langue, qui dans ce cas exerce une légère pression constante contre les dents, contribue probablement au déplacement des dents vers l’avant et l’apparition des espaces. De plus, le frein lingual qui est court affecte la position de la langue et contribue aussi à l’apparition d’un espace entre les centrales inférieures.
- (B) Lorsque le langue est étirée vers l’avant, le frein s’insère entre les dents. Une frénectomie linguale pourrait aider à ce que la langue retrouve une position plus normale.
TRAITEMENT : FRÉNOTOMIE ET FRÉNECTOMIE
- Lorsqu’un frein lingual est problématique parce qu’il empêche une mobilité normale de la langue, il est indiqué d’en faire l’ablation (frénectomie) ou de l’inciser (frénotomie).
- Cette procédure permet l’allongement suffisant du frein lingual ou sa suppression pour restaurer une meilleure fonction de la langue.
- Pour les cas les plus simples, cette intervention peut être faite sous anesthésie locale à l’aide d’un laser à tissus mous.
- Les cas les plus complexes, nécessitant d’exciser une partie des fibres musculaires, seront dirigés vers un dentiste ou chirurgien maxillo-facial familier avec cette procédure.

EXEMPLE DE CAS CLINIQUE - TRAITEMENT : FRÉNOTOMIE ET FRÉNECTOMIE (1) #8674
- (A) Frein lingual court réduisant la mobilité de la langue chez une adolescente de 13 ans.
- (B) Immédiatement après une frénectomie l’aide d’un laser à tissus mous, la langue est “libérée” et l’amplitude des mouvements est augmentée significativement. Cette procédure rapide est faire sous anesthésie locale et ne produit pratiquement aucun saignement.
- (C) Avant la frénectomie; la langue courbe vers le bas lors de l’extension.
- (D) Une fois le frein coupé, la propulsion de la langue est facilitée.
- (E) 7 jours après la frénectomie, une zone blanche de cicatrisation est visible, ce qui est normal et signe d’une bonne guérison.Cette intervention fut faite à l’aide d’un laser à tissus mous.
LE FREIN LABIAL
- Ce frein est surtout commun pour la lèvre supérieure mais est parfois présent sur la lèvre inférieure.
- Le frein labial qui attache la lèvre supérieure est souvent associé à la présence d’un espace inter-dentaire entre les incisives supérieures (diastème).
- Il est parfois indiqué de “couper” ce frein. Cependant, si l’orthodontie est envisagée, il est préférable de fermer l’espace avant la frénectomie afin d’éviter la formation de tissus cicatriciel entre les incisives, ce qui aurait tendance à favoriser une réouverture de l’espace préalablement fermé.1
- Une fois l’espace fermé, il est indiqué de maintenir une attelle de rétention fixe à long terme pour aider à garder l’espace fermé.
EXEMPLE DE CAS CLINIQUE - LE FREIN LABIAL (1) #8688
EXEMPLE DE CAS CLINIQUE - LE FREIN LABIAL (2) #8693
- (A) Frein labial (flèche) associé à un diastème entre les centrales supérieures.
- (B) L’espace entre les centrales a tout d’abord été fermé en orthodontie.
- (C) Résultat à la fin du traitement et après une frénectomie. Les espaces restants sont dûs à des latérales étroites.
- (D) Les latérales ont été élargies par le dentiste, ce qui contribuera à la stabilité de l’espace fermé.
LA CONTROVERSE CONCERNANT LA FRÉNECTOMIE SUPÉRIEURE
- Certains cliniciens recommandent à tort une frénectomie en bas âge entre les incisives centrales supérieures car ils croient que le diastème central est causé par la présence du frein labial, ce qui empêche les centrales de se déplacer vers le centre. La frénectomie aurait donc pour but de couper ce frein avant les corrections orthodontiques car cela facilitera la fermeture de l’espace à l’aide des appareils orthodontiques.
- Il faut cependant réaliser qu’un espace entre les centrales permanentes est normal tant que les canines permanentes ne sont pas sorties.
- Par contre, une frénectomie peut causer du tissus cicatriciel pouvant empêcher une fermeture normale et naturelle du diastème pendant l’éruption des canines.
- La plupart des auteurs s’accordent donc sur le fait qu’il est préférable d’attendre la sortie des canines permanentes avant d’envisager une frénectomie.
- Dans les cas de diastèmes sévères (6-8 mm) présents pendant la transition de la dentition temporaire a la dentition permanente, une frénectomie peut cependant être indiquée afin de fermer l’espace orthodontiquement en rapprochant les centrales et minimiser ainsi les chances que les latérales et/ou les canines sortent de façon ectopique (du côté du palais). Dans ce cas, le but de la frénectomie n’est pas e permettre une fermeture spontanée de l’espace mais de la faciliter à l’aide d’appareils.
- CONCLUSION : Lorsqu’une frénectomie de la lèvre supérieure est envisagée en présence d’un diastème important, il est préférable d’attendre la sortie des canines supérieures et la fin des corrections orthodontiques afin d’assurer une meilleure stabilité des corrections et éviter une réouverture de l’espace.
- ➡ Pourvoir d’autres exemples de fermeture de diastèmes suite à l’éruption dentaire et sans frénectomie.
EXEMPLE DE CAS CLINIQUE - LA CONTROVERSE CONCERNANT LA FRÉNECTOMIE SUPÉRIEURE (1) #8700
Les canines suivent les racines des latérales dans leur parcours d’éruption normal et peuvent fermer l’espace entre les centrales sans aucune autre intervention. Il est préférable d’attendre la sortie des canines avant d’envisager une frénectomie labiale en présence d’un diastème. (Broadbent 1937)
Exemple de la fermeture d’un diastème entre des centrales supérieures suite à l’éruption des canines permanentes. (A) à l’âge de 8.9 ans, ce garçon présente un diastème important et un frein labial qui s’attache entre les centrales. (B) Près de 5 ans plus tard (13.5 ans) les canines permanentes sont sorties et ont contribué à fermer le diastème en déplaçant les incisives vers le centre. Aucune frénectomie n’a été faite.
POUR EN SAVOIR PLUS…
➡ Pour en savoir plus sur la fermeture d’espace en orthodontie.
EXEMPLE DE CAS CLINIQUE - LA CONTROVERSE CONCERNANT LA FRÉNECTOMIE SUPÉRIEURE (2) #8708
EXEMPLE DE CAS CLINIQUE - LA CONTROVERSE CONCERNANT LA FRÉNECTOMIE SUPÉRIEURE (3) #8713
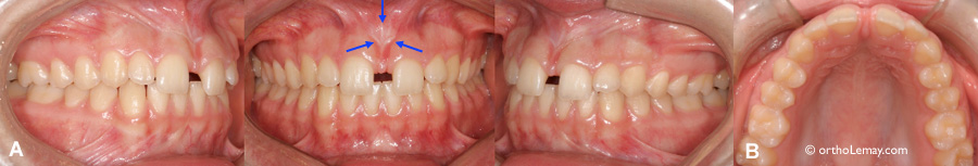
- (A) Ce jeune garçon a un diastème important depuis la sortie de ses dents temporaires. Il a maintenant 7 ans. Le frein labial indiqué par les flèches n’est pas la cause de l’espace entre les centrales et le couper ne changerait rien à l’espace.
- (B) Une vue de l’arcade supérieure montre la papille palatine (indiquée par la flèche)qui est une structure normale différente du frein labial.
- (C) Le frein ne cause pas de problème de mobilité de la lèvre.
- (D) Une autre vue qui montre l’attache du frein qui rejoint presque la papille palatine.
UNE FRÉNECTOMIE FERMERA-T-ELLE UN DIASTÈME IMPORTANT?
Les exemples suivants montrent des situations où un frein labial a été coupé (frénectomie) dans le but d’obtenir une fermeture spontanée du diastème mais sans aucun résultat.
EXEMPLE DE CAS CLINIQUE - UNE FRÉNECTOMIE FERMERA-T-ELLE UN DIASTÈME IMPORTANT? (1) #8720
Cette femme a fait faire une frénectomie labiale dans l’espoir qu’un important diastème supérieur entre les centrales se referme par lui-même, du moins c’est ce qu’elle s’était fait dire. Des années après l’intervention, elle attend toujours la fermeture de l’espace et s’est résolue à faire des corrections orthodontiques pu fermer l’espace! Les flèches indiquent l’ancienne base du frein.
EXEMPLE DE CAS CLINIQUE - UNE FRÉNECTOMIE FERMERA-T-ELLE UN DIASTÈME IMPORTANT? (2) #8725
Cette jeune fille de 12 ans a eu une frénectomie à 2 reprises suite aux recommandations d’un ORL afin de fermer un diastème de façon spontanée. Aucune fermeture ne s’est produite. Les flèches indiquent les légères cicatrices laissées par les interventions. Maintenant que les canines permanentes sont sorties, il n’y a plus d’espoir de fermeture spontanée des espaces inter-dentaires.
EXEMPLE DE CAS CLINIQUE - UNE FRÉNECTOMIE FERMERA-T-ELLE UN DIASTÈME IMPORTANT? (3) #8730
FRÉNECTOMIE INUTILE
- (A) Cette adolescente de 15 ans a subit une frénectomie de la lèvre supérieure mais cela n’a eu aucun effet sur la largeur du diastème entre les centrales.
- (B) Vue occlusale. À noter que dans ce cas, une partie de l’espace peut s’expliquer par la présence de latérales qui sont légèrement étroites.
Cette adolescente de 16 ans présente une excellente occlusion (aucun traitement orthodontique) mais un diastème important (4.5 mm) entre les centrales supérieures qui est un handicap esthétique pour elle.
- Elle a eu une frénectomie à 2 reprises; une première fois vers l’âge de 5-6 ans et une seconde fois quelques années plus tard dans l’espoir qu’il y ait fermeture du diastème. Cela n’a eu aucun effet sur l’espace présent.
- La dimension des incisives supérieures est un peu réduite par rapport à ce qu’elle devrait être idéalement pour combler tout l’espace antérieur de sorte que, même si les centrales sont rapprochées, il restera une partie de l’espace qui devra être comblée par des restaurations dentaires pour donner aux dents une dimension idéale. Pour voir des exemples.
- La meilleure façon de fermer un espace aussi important tout en préservant la bonne position des autres dents est avec des appareils fixes (boîtiers, brakets, multibagues) car cela donne un meilleur contrôle tri-dimensionnel de la position des dents.
EXEMPLE DE CAS CLINIQUE - HISTOIRE DE CAS (1) #8737
- (A) Bonne occlusion générale. Diastème de près de 5 mm entre les centrales supérieures. Le flèches indiquent les cicatrices résultant des frénectomies qui ont été faites par le passé.
- (B) Vue occlusale de l’alignement de l’arcade supérieure et de l’espace antérieur.
➡ Pour en savoir plus sur ce cas et voir d’autres exemples de fermetures d’espaces et diastèmes.
FRÉNECTOMIE MODIFIÉE VS DIASTÈME
La procédure “classique” pour effectuer une frénectomie, telle que décrite par Edwards en 1977, implique l’ablation de la papille incisive. Cette intervention est la cause principale de la présence de tissus de cicatrisation “coriace” après la guérison et peut causer la réouverture d’un diastème ou en empêcher sa fermeture spontanée avec l’éruption des autres dents antérieures. Doyle et d’autres cliniciens on toutefois proposé une technique modifiée qui préserve la papille gingivale, réduisant ainsi les chances d’avoir du tissus cicatriciel présent entre les incisives après l’intervention tout en permettant, d’après eux, de diminuer la tension exercée par le frein sur la gencive.2
Bien que le concept derrière cette technique supporte une certaine logique, certains recommandent tout de même de faire une telle frénectomie en bas âge, immédiatement après l’éruption des centrales sous prétexte que cela “peut contribuer” à diminuer le diastème et moins “aplanir” la papille avec le temps. Il n’y a aucune base scientifique pour supporter un tel énoncé et les communautés orthodontiques reconnues recommandent tout de même d’attendre la sortie des canines permanentes avant d’envisager une frénectomie labiale, sauf dans de rares cas d’exception.
Information supplémentaire :
Pour télécharger un dépliant sur les frénectomies, fibrotomies et gingivoplasties publié par l’American Association of Orthodontists (anglais seulement)
EXEMPLE DE CAS CLINIQUE - FRÉNECTOMIE MODIFIÉE VS DIASTÈME (1) #8746
Illustration des étapes de la technique originale de frénectomie labiale telle que préconisée par Edwards en 1977 dans laquelle les tissus du frein labial sont excisés jusqu’au périoste recouvrant l’os. L’os alvéolaire est aussi dénudé par l’excision du périoste suivi d’une « destruction » des fibres parodontales trans-septales (entre les dents). (Edwards, 1977).
EXEMPLE DE CAS CLINIQUE - FRÉNECTOMIE MODIFIÉE VS DIASTÈME (2) #8751
Dans l’approche modifiée, la frénectomie laisse la papille gingivale intacte réduisant ainsi les chances d’avoir du tissus cicatriciel présent entre les incisives après l’intervention. (D’après C. Baker, 2008). Cette technique ne causera pas la fermeture spontanée d’un diastème et une intervention orthodontique est tout aussi indiquée. Pour les mêmes raisons décrites précédemment, il n’est pas indiqué de faire une telle intervention en bas âge avant la sortie des canines permanentes (Énoncé de l’Amer. Assoc. Ortho, 1991).
EXEMPLE DE CAS CLINIQUE - LE FREIN LABIAL INFÉRIEUR (1) #8758
Le frein labial inférieur peut aussi être problématique lorsqu’il s’attache près du bord de la gencive et exerce une tension vers le bas pendant la fonction. Ceci peut causer du déchaussement localisé. Cet homme de 66 ans a une qualité de gencive excellente sauf à l’endroit où le frein de la lèvre exerce une tension sur la bordure de la gencive et cause une récession gingivale.
POUR EN SAVOIR PLUS…
Pour télécharger un dépliant sur les frénectomies, fibrotomies et gingivoplasties publié par l’American Association of Orthodontists (anglais seulement).
EXEMPLE DE CAS CLINIQUE - FERMETURE D’ESPACES ET DE DIASTÈMES (2) #8772
EXEMPLE DE CAS CLINIQUE - FERMETURE D’ESPACES ET DE DIASTÈMES (3) #8777
Parfois la fermeture d’un diastème peut être assez simple.
- (A) Patient ayant une excellente occlusion et bon alignement général des dents. Il désirait fermer l’espace entre les centrales supérieures qu’il trouvait inesthétique.
- (B) La correction fut faite à l’aide d’attaches de la couleur des dents et d’un élastique permanent transparent qui rapproche les dents. Le tout est pratiquement invisible.
- (C) Après 10 jours l’espace est fermé et les centrales se touchent. Les attaches peuvent alors être enlevées.
- (D) Une fois la correction terminée, il est nécessaire de coller une attelle de rétention sur la face interne des dents afin de prévenir l’ouverture de l’espace à nouveau.
EXEMPLE DE CAS CLINIQUE - FERMETURE D’ESPACES ET DE DIASTÈMES (5) #8787
FERMETURE D’UN DIASTÈME DE 5 MM EN 5 MOIS CHEZ UNE FILLE DE 16 ANS
- (A) Une frénectomie labiale avait été faite auparavant à deux reprises dans l’espoir que le diastème se referme, ce qui était impossible.
- (B) Pose des appareils fixes multi-bagues.
- (C) Après 5 mois de corrections orthodontiques.
- (D) Après l’enlèvement des appareils et qu’une gingivectomie ait été faite entre les incisives centrales.
EXEMPLE DE CAS CLINIQUE - ESPACES INFÉRIEURS, ANODONTIE D’INCISIVES-1 #8794
RÉFÉRENCES
1- Edwards, JG. (1977), « The diastema, the frenum, the frenectomy: a clinical study », Am J Orthod, vol. 71, n˚ 5, p. 489-508.
2- Baker, Chris. (2008), « Frenectomy: Why, When & How? », Journal of the American Orthodontic Society.
3- Hogan, M., Westcott, C. et Griffiths, M. (2005), « Randomized, controlled trial of division of tongue-tie in infants with feeding problems », Journal of Paediatric and Child Health, vol. 41, n˚5-6, p. 246 -250.
4- Messner, AH. et al. (2000), « Ankyloglossia: incidence and associated feeding difficulties », Arch Otolaryngol Head Neck Surg, vol. 126, n˚1, p. 36-39.
5- Segal, LM., Stephenson, R., Dawes, M. et Feldman, P. (2007), « Prevalence, diagnosis, and treatment of ankyloglossia: methodologic review », Can Fam Physician, vol. 53, n˚ 6, p. 1027-1033.
Remonter en haut de la page



















